
Two opposing spring loaded aligner bars push the teeth to their final position gently but with constant pressure. Surprisingly, this gentle pressure is the quickest way to move teeth and treatment typically takes 8 to 18 weeks with just 20 hours of daily wear. This compares to 6 months to 2 years for some other braces. The Inman aligner is a conservative, safe and cost effective approach when compared to traditional veneers and crowns.
Space is created between teeth by using dental sandpaper to carefully remove a measured amount of tooth enamel. Remineralising gel is placed on the teeth at each appointment. The Inman aligner is easily removed and so you can remove it temporarily for a special event. Because the appliance is removable teeth can be cleaned easily and you can eat normally.
Who can provide an Inman Aligner?
Only certified Inman Aligner dentists can provide the Inman Aligner and Galer Farrer has achieved this certification. Galer was thrilled when the international forum picked one of her cases as ‘Inman Aligner of the Month’ to demonstrate its success and has been quoted in multiple articles “The Inman Aligner is the greatest innovation in dentistry of recent years. It’s fast, affordable and kind to teeth. It really is the best way to straighten crowded front teeth.”
What is involved?

Treatment starts with a detailed consultation during which we assess your treatment needs and discuss a provisional treatment plan. This appointment includes photographs, impressions and x-rays of your teeth. The Inman aligner is made, using your dental impressions, at the laboratory. You will have the appliance fitted approximately 3 weeks later. You might notice, until you have adjusted to the appliance, that you salivate more and your speech is affected. The Inman aligner must be worn for 20 hours/day and it is generally easily tolerated with minimal discomfort but you may need to take paracetamol for the first few days. You will be requested to attend appointments every 2 – 3 weeks to monitor tooth movements, make space and adjustments to the appliance. When the treatment has been completed and you are happy with your new smile a fixed bonded retainer is recommended to ensure your teeth stay in position. You will also be given a plastic retainer. Retention is for life!

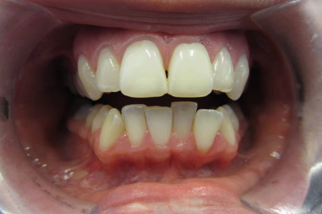
Before 
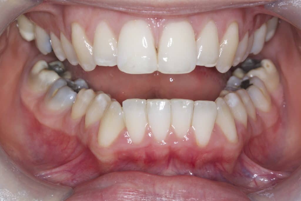
After

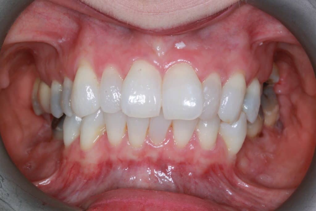
Before 
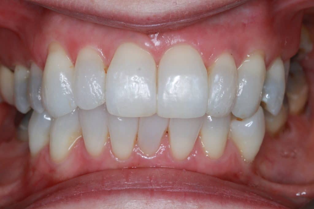
After

Before 
After

Before 
After

Before 
After

Before 
After

Before 
After

Before 
After
To find out more about the Inman Aligner, or to book an appointment at Sharrow Vale Dental Care, call 0114 2686076, email enquiries@sharrowvaledentalcare.co.uk or send us a message using our online contact form.

















