
Benefits of dental implants
- Implants give the most natural replacement to missing teeth as the ‘implant tooth’ appears through the gum like a natural tooth. They are strong and stable and it looks, feels, fits and functions like a natural tooth.
- Fixed option – enjoy life without worrying about your teeth! They eliminate the embarrassing inconvenience of removing dentures, as well as the need for messy adhesives to keep them in place.
- Replace missing teeth with no deliberate damage to adjacent teeth, unlike conventional bridgework. Dental implants go into the jawbone, in the position of your missing tooth. They also help prevent healthy, adjacent teeth from moving.
- Intended to last a lifetime. Dental implants may need periodic adjustments, but they can last a lifetime when properly placed and maintained. Traditional tooth supported bridges last 5– 10 years but at some point they may need to be replaced.
- Maintains bone – leaving empty spaces in your mouth can lead to deterioration of your jawbone. Dental implants preserve and stimulate natural bone, actually helping to stimulate bone growth and prevent bone loss.
- Ideally one implant to replace each missing tooth – but they can link bridges or help stabilize dentures.
- Speech – adjusting to removable dentures can mean struggling to pronounce everyday words. This is not so with dental implants as they function like natural teeth.
- Eat your favourite foods – eat virtually anything you want and, unlike removable dentures that can feel uncomfortable, you can experience the full taste of the food as your palate is not covered.
- Cost effective – in the long run it can be a cost effective option.
Risks of dental implants
In order to fully evaluate whether dental implants are your treatment of choice, you should be aware of potential risks. The overall success rate for dental implants in a healthy individual and a well cared for mouth should be around 95% or more over a 20-year period. Risks of implant failure increase in heavy smokers, diabetic patients and people with poor levels of oral hygiene and some medical conditions. Possible problems that can occur are:
- Implants can fail to integrate with the bone.
- Loose or lost healing covers - very rarely the temporary healing cover that protects the implant during the healing phase can work loose or fall out. If this happens do not panic! Simply contact the practice for the healing cover to be replaced.
- Torque controlled screws that link the implant and abutment can loosen, often noticed by a slight ‘clicking’ when chewing. This is the most common implant problem and is easily managed. The screw is simply checked and tightened.
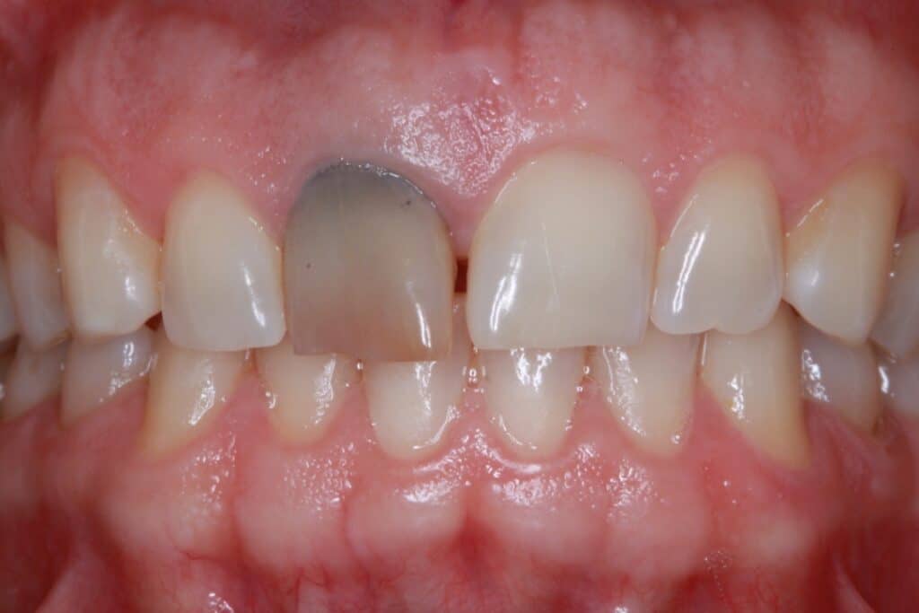
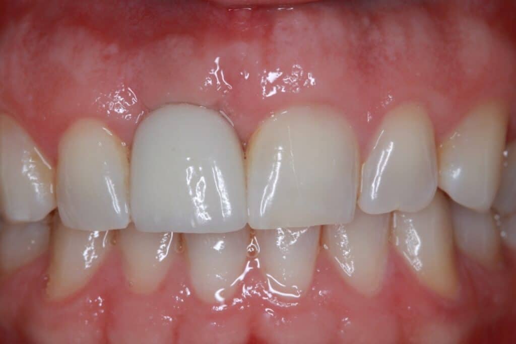
- Sometimes the porcelain can fracture from the crown and this may need to be replaced if it is a cosmetic concern.
- Every effort is made to avoid the sinus, mental / inferior dental nerve during placement. These risks will be carefully discussed with you prior to surgery.
- Infections - It is unlikely you will experience infection around an implant unless you are not cleaning properly. All patients will be given strict aftercare instructions.
- Peri-implantitis / bone loss – if you do not look after your implant and infection persists for a long period of time the supporting bone will be broken down. This is called peri-implantitis. You may notice a space appearing between the implant and the adjacent teeth and bleeding of the gums. It is important to keep regular appointments and to visit our hygienist.
What is involved?
- TREATMENT PLANNING (impressions, x-rays, photographs, consent)
- IMPLANT PLACEMENT + cover screw. Buried under gum
- PHONE CALL – next day
- REMOVE STITCHES – 7 – 10 days post placement
- 12 – 24 weeks healing time
SECOND STAGE SURGERY – uncover implant, osseointegration checked, remove cover screw, place healing abutment, revise denture, x-ray to check implant –abutment connection if necessary
Gum heals around the abutment and forms a cuff through which the dentist has access to the implant when preparing the final restorative stage of placing the prosthetic tooth. Please keep very good oral hygiene
- 7 days after SECOND STAGE – stitches removed
- 14 – 21 days after second stage - Impressions for temporary / final abutment and implant supported crown
- 1 – 2 months after SECOND STAGE (depending on time for lab work fabrication) = New prosthesis completed and final attachment.
FOLLOW UP
1 month after restorative treatment
3 months after restorative treatment
6 months after restorative treatment
Annually thereafter
Cone Beam CT scans
Implant surgery requires more advanced x-ray imaging. In addition to our digital radiographic equipment, we have made a significant investment in a Cone Beam CT scanner which provides us with high quality imaging in a 3D format. This allows for concise and predictable treatment planning.
It is fast, simple and completely painless. The machine moves around your head in a circular motion taking images of the specified area. From that your dentist can see computer generated views of the bones of the face, the teeth, and other details form any angle, in 3D. For implant planning we would use it to accurately show the width and length of available bone available.
How do I care for my implant?
Dental implants need just as much care as natural teeth. Implant crowns and bridges should be cleaned twice daily with normal tooth brushing and normal toothpaste. Cleaning around the gum line is particularly important and for this electric toothbrushes are very good. I advise twice daily the use of interdental cleaning brushes, around the implant neck, such as TePe brushes and super floss.
Regular visits to our dental hygienist is advised to ensure implants are being cleaned effectively and also to remove harmful tartar and plaque that may have built up. Failure to clean effectively can lead to inflammation and ultimately failure of a dental implant.
Mouthwashes are not necessary but there is no harm in using them if you feel it makes your breath fresher. They are NOT a substitute for effective brushing.
As part of the assessment for suitability for dental implants your level of oral hygiene and gum condition will be assessed. Implants will not be placed in any patient with active gum disease or poor oral hygiene.
To find out more about dental implant treatments, or to book an appointment at Sharrow Vale Dental Care, call 0114 2686076, email enquiries@sharrowvaledentalcare.co.uk or send us a message using our online contact form.















