You can even see what your teeth will look like after the alignment using the following link:
Invisalign®
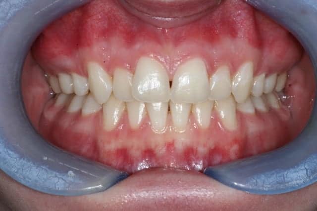
Since its arrival in 1999, Invisalign® has revolutionised the world of orthodontic treatment. It has made it possible to straighten the teeth of patients who prefer to avoid unsightly and uncomfortable metal braces. If you are looking for a way to quickly and successfully straighten your teeth, Invisalign® is a modern day solution. This innovative treatment has now been used by hundreds of thousands of people across the world.
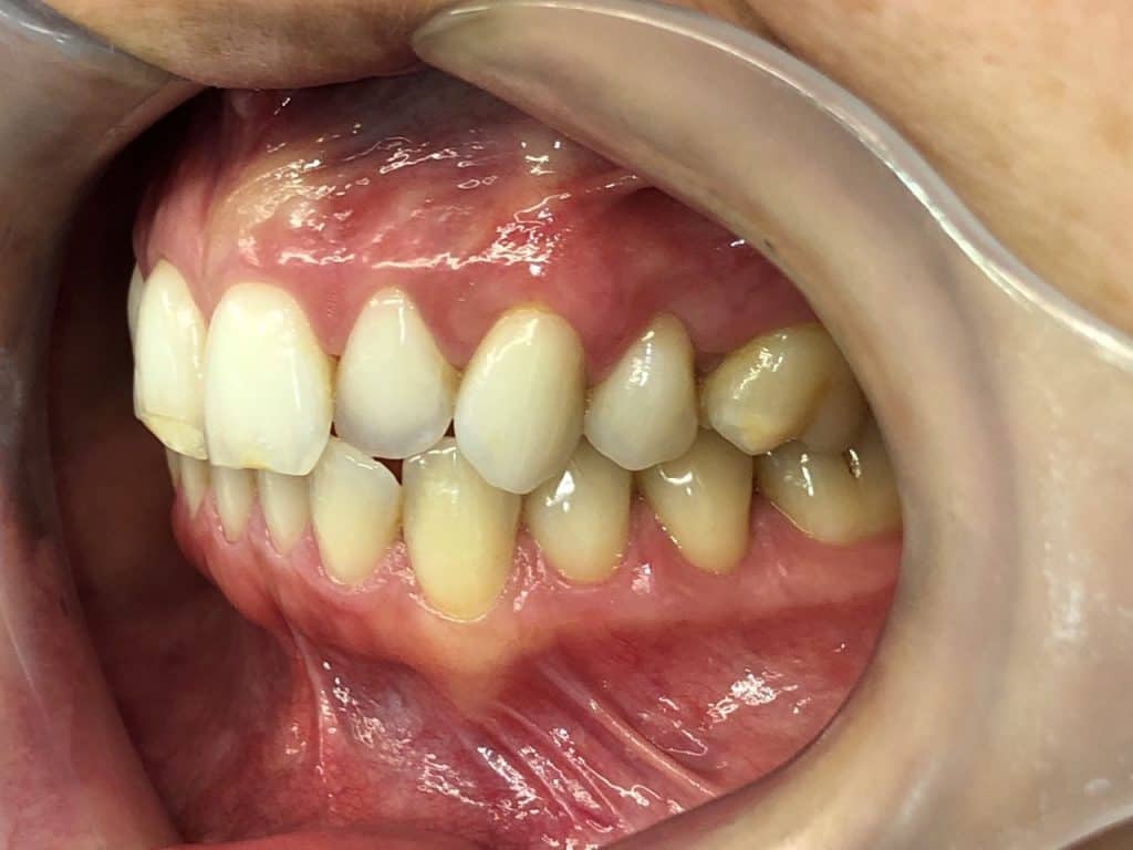
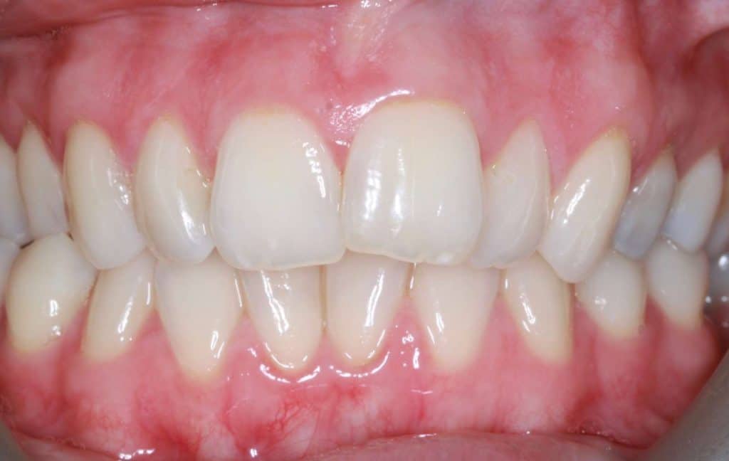
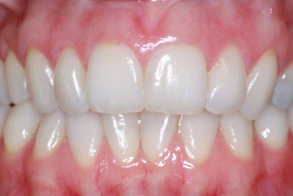
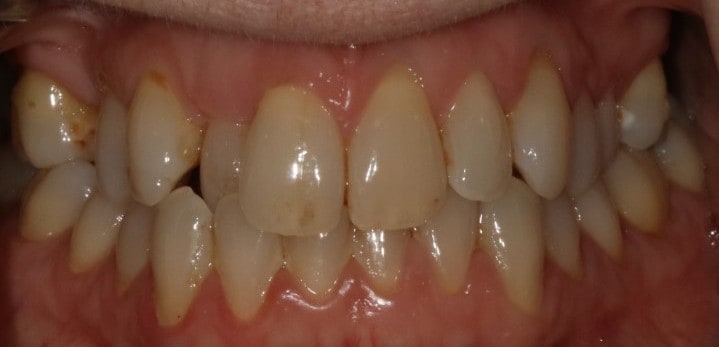
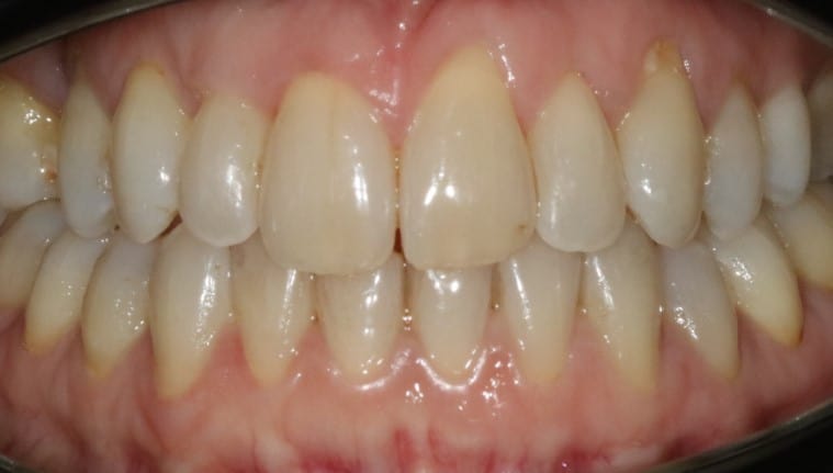
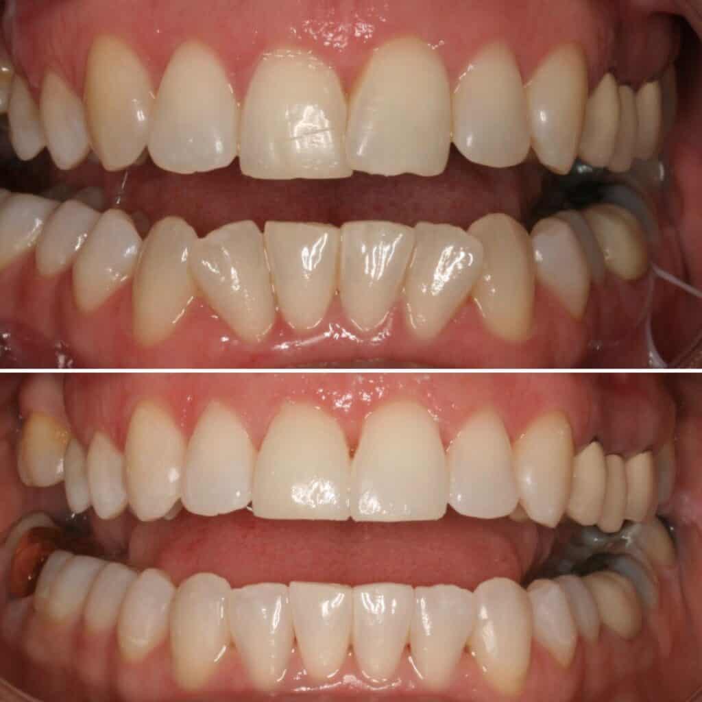
Although it may not be appropriate for severe cases, a patient can expect results comparable to conventional braces. Invisalign® can be used to correct a wide range of orthodontic concerns including mild to moderate crowding, aligning crooked teeth and closing spaces.
Our Providers
At Sharrow Vale Dental Care our clinicians have significant experience in providing Invisalign and have achieved amazing results. Dr Laura Webster is an Elite Provider and has tonnes of cases under her belt. Dr Dhivya Mathew is a Comprehensive Provider which means she can tackle some of the most challenging cases.
What is Invisalign®?
Essentially, Invisalign® is a discreet and hassle-free way to straighten your teeth. Treatment involves the use of a series of near invisible, custom-made aligners that straighten your teeth without using traditional metal wires, brackets or elastic bands. The clear aligners are comfortable and removable, so you can take them out when you need to eat or brush your teeth.
Features and Benefits of Invisalign® compared with Metal Braces
• Clear / Almost invisible = less noticeable; more confidence
• Made form smooth material = comfortable and easy to wear
• No metal = no friction or pain
• Removed for eating / drinking = eat and drink normally
• Removed for brushing / flossing = no food trapping, healthier teeth
• Custom made using computer technology = excellent fit, predictable outcome
• Low maintenance = convenient and hassle free treatment
• Rapid results = saves time
Treatment process
Consultation: Your treatment plan will begin with a consultation with our Invisalign® accredited dentist who will assess your case and discuss your treatment option with you. This will also allow you the opportunity to ask any questions about Invisalign®. You will usually have photographs and x-rays taken at this appointment.
Treatment plan and CLINCHECK: A 3D digital scan of your teeth is taken to assess whether they can be straightened using the Invisalign System. 3D computer-imaging technology is used to create a detailed treatment plan. You will be able to see the series of movements your teeth will make over the course of your treatment and how your teeth are expected to look at the end of treatment. With your consent the series of clear aligners – or Invisalign® braces are manufactured.
Treatment: You will wear each set of custom-made aligners for 20 – 22 hours a day, for approximately two-weeks. As you progress through the series of aligners, your teeth will begin to move, little by little, week by week – until a desirable (and straight) position has been reached. During this time you will have occasional check-ups with your Invisalign Provider in order to monitor your progress and ensure you are comfortable with the treatment. You can remove the aligner to eat or brush your teeth, but if taken out too much, treatment wont be as effective.
Treatment time: The time it takes to complete the treatment varies from person to person, depending on the complexity of each case. The total treatment time averages from 9 to 15 months but can take as little as 3 months.
Finalising treatment: At the end of treatment you may choose to whiten your teeth. Some people request composite bonding. Finally we will make you some customised retainers to secure your new smile. Retainers must be worn for life.
Alternative treatment options
As with all braces, it’s important to make sure you’re suitable for Invisalign®. Some orthodontic problems can be too much for aligners, and in these cases, we’d recommend clear braces or lingual braces as discreet alternatives.















To find out more about Invisalign®, or to book an appointment at Sharrow Vale Dental Care, call 0114 2686076, email enquiries@sharrowvaledentalcare.co.uk or send us a message using our online contact form. Or visit www.invisalign.co.uk

