Why would I have a veneer?
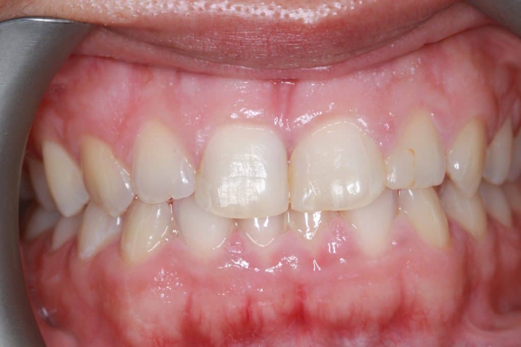
Veneers are generally placed on front teeth that are severely discoloured, poorly shaped, chipped or slightly crooked. They can protect a damaged or worn tooth surface as well as close gaps between teeth. Veneers can be used for a single fractured tooth or as part of the Hollywood style makeover.
What is the difference between composite bonding and composite veneers
Composite bonding and composite veneers are different names used to refer to the same treatment.
This treatment works by adding composite resin (aesthetic dental material) onto the tooth surface to improve the size, shape and colour of the tooth.
Does composite bonding involve ‘drilling teeth down?’
One of the best features of composite bonding is that there is no need to remove any tooth structure and so there is no damage to the underlying tooth.
There is also no need to use any injections making this treatment pain free.
How long does composite bonding last?
On average composite bonding lasts between 3 – 8 years depending on how well the teeth are looked after.
Following your treatment, we recommend seeing our hygienist regularly to ensure your gums stay healthy and coming back for routine examinations with the dentist every 6 month to make sure your smile stays in good shape.
What is the difference between composite bonding and porcelain veneers?
Composite bonding is carried out completely by the dentist in surgery where they will artistically carve the aesthetic composite resin material over the tooth surface in order to achieve the desired shape and size. It is a modern way to restore teeth, either for cosmetic reasons, or to build up tooth structure that has been lost.
This is all done in one appointment and does not require the removal of any tooth structure. It involves bonding a tooth coloured resin material to existing teeth to reshape them or improve their colour.
Porcelain veneers on the other hand are made in a dental laboratory by an experienced lab technician who uses porcelain to create thin pieces of ceramic that are subsequently cemented on to the tooth surface. It is similar in concept to how fake nails are stuck onto your real ones.
Due to the ‘additional-work’ needed to create porcelain veneers the treatment normally takes two appointments to complete. If you are having more than one veneer the appointments can take several hours for examination, tooth preparation and fitting. At the first visit we prepare your tooth or teeth for veneers. You may not need local anaesthetic as we aim to preserve maximum tooth structure. We then take impressions, carefully choose a colour, and fit a temporary veneer. At the second visit, the temporary veneer will be removed and replaced with the definitive one after you have confirmed you are happy with the colour, shape and fit.
How long does a porcelain veneer last?
On average a porcelain Veneer lasts around 10 years depending on how well the teeth are looked after.
If my teeth are crooked can I still have composite bonding / veneers
This is a common question and all depends on the level of crowding of your teeth.
If the crowding is very minor then the dentist may be able to ‘camouflage’ the teeth with composite bonding / veneers without the need for teeth straightening.
This will all become clear at your consultation where the dentist will tell you the best treatment plan for you based on your treatment goals and expectations.
Do I need to whiten my teeth before having composite bonding / veneers?
This all depends on your treatment expectations and how white and bright you want your smile.
Typically most patients do whiten their teeth as part of their smile makeover as it does make the end result more impressive and aesthetic.
If you want to make your smile brighter then you most likely will need to whiten beforehand.
It is entirely up to you however – if you want a subtle, natural looking smile then it may be best to skip the whitening and go straight for the composite bonding / veneers to match the current colour of your teeth.
What maintenance is involved?
Composite veneers look good for 5 – 7 years and over time will need to be touched up or re-polished as the composite picks up stain. Porcelain veneers tend to last longer and keep their looks a little better but can be more destructive to healthy enamel.
What other options are available?
If your natural teeth look fine and function well, veneers may not be the best choice because (most of the time) they involve permanent removal of some of your natural tooth structure. There are a number of alternatives to veneers that exist, such as air polishing, whitening and aligning via orthodontics (such as the Inman aligner), and these should be carefully considered and discussed with your dentist before making this decision. It is always sensible to consider more minimally invasive (less destructive) ways to improve your appearance first. They can save you time, money and most importantly, keep and protect your natural teeth.Veneers are generally placed on front teeth that are severely discoloured, poorly shaped, chipped or slightly crooked. They can protect a damaged or worn tooth surface as well as close gaps between teeth. Veneers can be used for a single fractured tooth or as part of the Hollywood style makeover.









To find out more about composite bonding or veneers, or to book an appointment at Sharrow Vale Dental Care, call 0114 2686076, email enquiries@sharrow.esptest.co.uk or send us a message using our online contact form.
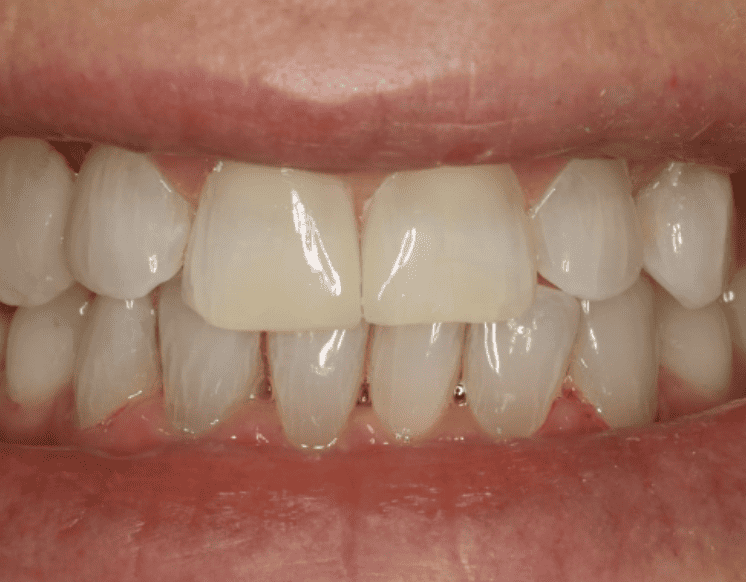
Porcelain veneer example


