0114 268 6076
Chat via WhatsApp
@sharrowvaledentalcare
fb.com/sharrowvaledentalcare
enquiries@sharrowvaledentalcare.co.uk
Menu
Home
Our Team
Treatments
Refer a patient
Specialist Endodontic Referrals
Oral Surgery / Sedation / Dental Treatment Referral
Invisalign / Cosmetic Dental Treatment Referral
Implant Treatment Referral
OPG Imaging Request
CBCT Scan Request
Fees
Latest News
Contact
close
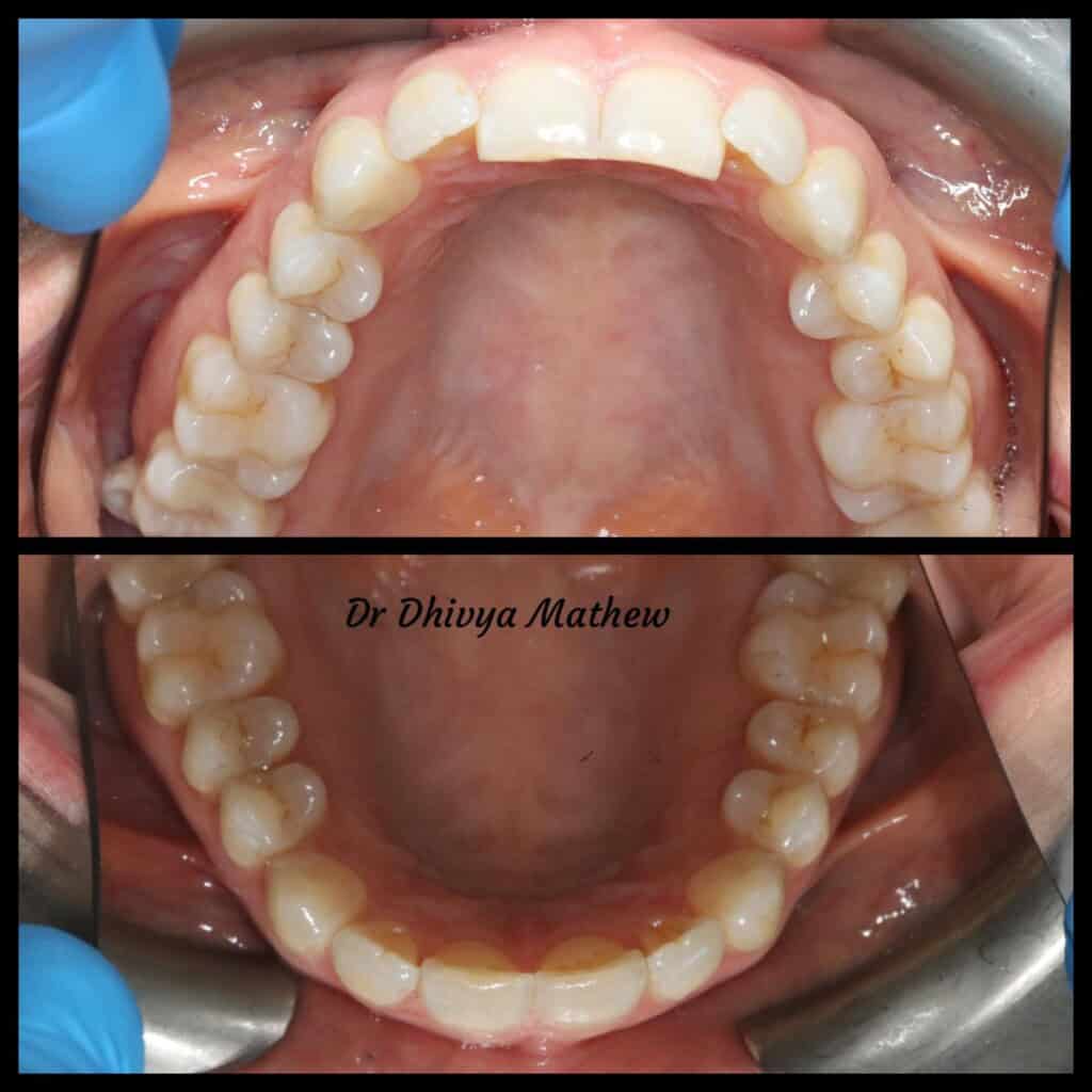
Wonderful straightening...
21st January 2026
We love Dhivya's alignment this week! What a dream come true for this patient...
Share this post:
Recent Posts
An even and beautiful smile...
Happy Birthday Dhivya
Happy birthday Mike
1
2
3
…
192
Next »
Enquire online
General Enquiry Form
Newsletter
First Name
Last Name
Email
Phone
Your Message
Submit Form
Enquire online
General Enquiry Form
Updates
First Name
Last Name
Email
Phone
Your Message
Submit Form
Enquire online
General Enquiry Form
Updates
First Name
Last Name
Email
Phone
Your Message
Submit Form
close
bars
angle-down
cross