0114 268 6076
Chat via WhatsApp
@sharrowvaledentalcare
fb.com/sharrowvaledentalcare
enquiries@sharrowvaledentalcare.co.uk
Menu
Home
Our Team
Treatments
Refer a patient
Specialist Endodontic Referrals
Oral Surgery / Sedation / Dental Treatment Referral
Invisalign / Cosmetic Dental Treatment Referral
Implant Treatment Referral
OPG Imaging Request
CBCT Scan Request
Fees
Latest News
Contact
close
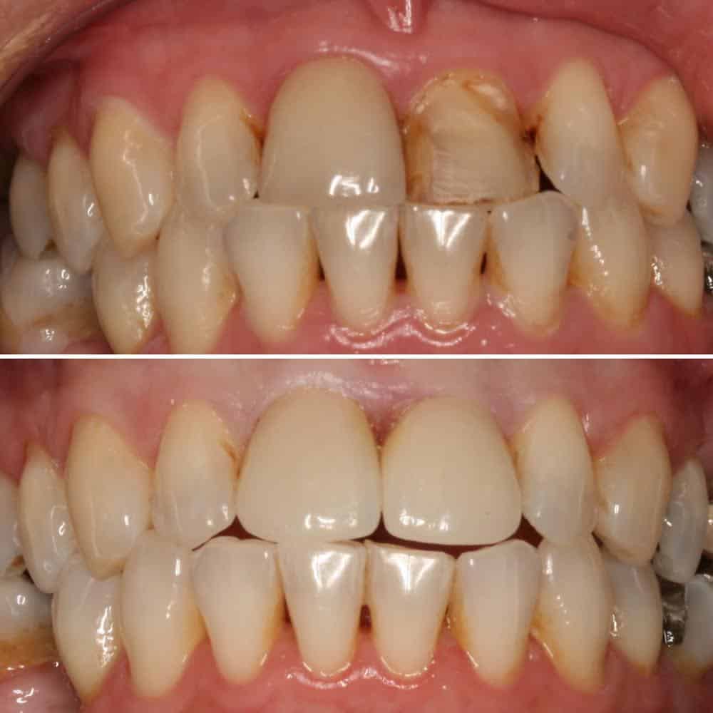
Veneer By Dr Laura Webster
26th June 2024
Take a look at this beautiful veneer done by Dr Laura Webster!
Share this post:
Recent Posts
Thank you Alanna
Invisalign - this is your sign!
Invisalign - align your teeth discreetly!
1
2
3
…
188
Next »
Enquire online
General Enquiry Form
Updates
First Name
Last Name
Email
Phone
Your Message
Submit Form
Enquire online
General Enquiry Form
Subscribe
First Name
Last Name
Email
Phone
Your Message
Submit Form
Enquire online
General Enquiry Form
Updates
First Name
Last Name
Email
Phone
Your Message
Submit Form
close
bars
angle-down
cross