A CBCT Scan is a specialised x-ray which produces clear 3D pictures of the inside of your body, in this case your mouth.
Our system CS 8100 3D Evo
- Versatile 2D/3D system
- Dose reduction technology allows a 3D scan with the dose of an OPT
- High-resolution 3D images with limited artifacts
- Clear and sharp panoramic images ideal for routine needs
We can provide CBCT scans for a small field of view (sectional scan) through to a full upper and lower jaw. All the available options are detailed on our referral form.
Referrals
Patients can be referred to Sharrow Vale Dental Care for dental imaging. We will take your scan or x-ray and send it to your dentist following your appointment. Your appointment will take no longer than half an hour. Having the scan is completely painless as the machine moves around your head in a circular motion taking images of the specified area.
We will be happy to arrange a scan for your patient, by appointment, at their convenience. The fee is payable by your patient at their appointment unless you instruct us otherwise.
Please note the referring practitioner is to report on the CBCT scan. If you wish for a Consultant Radiologist to report on the scan please indicate on the referral form.
Referring your first patient to Sharrow Vale Dental Care for a CBCT Scan
In accordance with guidance issued by the European Commission, we have adopted the latest best practice which requires dentists who refer patients for CBCT scanning to have a service level agreement in place with their chosen CBCT scanning referral centre.
Sharrow Vale Dental Care Service Level Agreement
The service level agreement for our CBCT scanning service ensures compliance with best practice guidance. This necessary agreement will allow you to refer your patients for CBCT scans with appropriate justification. This simply requires you and your colleagues at your practice to:
- Confirm that you refer in accordance with published guidance criteria
- Confirm that you have fulfilled the standard education requirements in the use of ionising radiation and radiation protection and
- Provide certification to show that you have undertaken additional training for CBCT Referrers
Please complete and return your agreement along with copies of your relevant CPD certificates as soon as practicable so that you can start to refer patients for scans.
How to refer patients for scans if you are not certified
If you are waiting to attend a course or indeed don’t wish to become certified, our dentists are happy to refer your patients for scans on your behalf. In this instance, patients will be required to book a 15 minute appointment with one of our dentists, at an additional cost of £60, in order to be assessed for scan suitability.
How to refer when you are certified
Following receipt of your service level agreement and certificate to demonstrate you are qualified to refer patients for scans we will be able to accept your referrals.
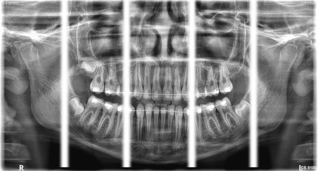
Examples of image quality using the Carestream 8100 3D






