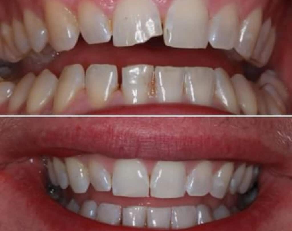
Look at this beautiful smile repair done by Dr Laura Webster!
She used composite to apply to the affected area which restores the shape and definition of the natural tooth
This is a simple cosmetic and necessary procedure, we love to fix teeth so you can smile confidently once again ![]()




