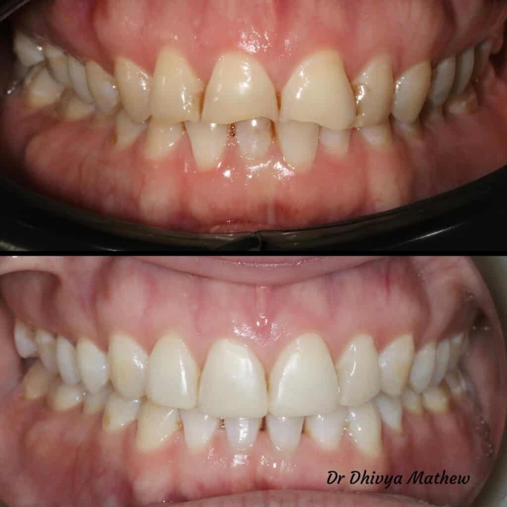
What great repair work by Dr Dhivya Mathew! This is an example of worn teeth Worn teeth are teeth that have been eroded or worn down over time due to various factors such as teeth grinding, acid erosion, or abrasive brushing. This can result in changes in the shape, size, and appearance of the teeth, as well as increased sensitivity and susceptibility to decay. Worn teeth can also affect the bite and alignment of the teeth, causing issues with chewing and speaking. We restore the teeth to their original shape and function to make them not only look aesthetically better, but mechanically better also



