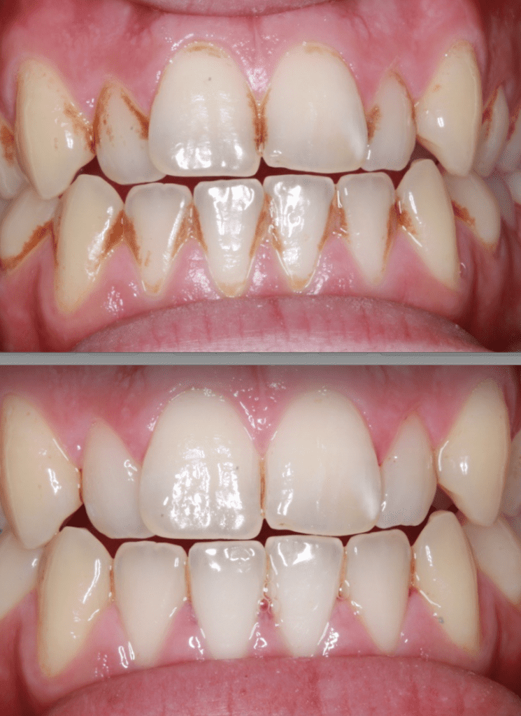
Air polishing uses a mixture of compressed air, water and fine powder to remove unsightly staining and harmful plaque from the teeth. Air polishing can also be used to gently clean underneath the gum line and around orthodontic wires/brackets, implants, crowns, bridges and conventional fillings.
Traditionally, hygienists had only scalers and abrasive pastes to remove these stains. Now, thanks to air polishing treatment, time can be significantly reduced, meaning less time in the dental chair and a more comfortable experience for the patient.
Due to the ‘jet’ action, air polishing systems can also reach into areas where staining can be really difficult to remove, such as in between the teeth. This can give a much better end result when compared to polishing with a paste. It can be safely used around soft tissues to comfortably access below the gum line, obliterating any bacteria in its path and thus helping to prevent disease.
Of course, twice daily tooth brushing and interdental cleaning still needs to be the first line of defence in the fight against plaque biofilm, but with this effective treatment now in our armoury, we have a reliable and effective tool to help us maintain your sparkling and healthy smile.




