
Inman Aligner - Before & After
6th March 2024
Look at this stunning result by Galer Farrer using Inman Aligner Technology The Inman Aligner is a removable dental appliance used to straighten crooked or misaligned teeth. It is a less invasive alternative to traditional braces and is designed to treat minor orthodontic issues. The aligner consists of a coiled spring that exerts gentle pressure […]
Read More
Recent Reviews
6th March 2024
Thank you for your recent reviews! We strive for the very best patient care and your feedback means a lot to us
Read More
Lets Meet Liz!
6th March 2024
Elizabeth (Liz) joined us in January 2022 as a trainee dental nurse and is now fully qualified! She enjoys all aspects of treatment including working with our specialist endodontist Dental nurses are responsible for various tasks, including preparing and sterilizing dental instruments, assisting with dental procedures,developing dental x-rays. They also manage patient records and ensure […]
Read More
Happy Valentines Day!
14th February 2024
Happy Valentines Day from all of us at Sharrow Vale Dental Care! We hope you all have a wonderful day whatever it is that you get up to, from going out for a lovely meal to seeing us at the dentist! The lovely wreath that has been featured is made by @Wearebloomcore - head to […]
Read More
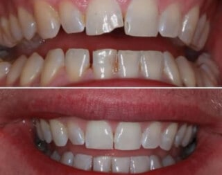
Smile Repair By Laura Webster
14th February 2024
Look at this beautiful smile repair done by Dr Laura Webster! She used composite to apply to the affected area which restores the shape and definition of the natural tooth This is a simple cosmetic and necessary procedure, we love to fix teeth so you can smile confidently once again
Read More
Recent Reviews
14th February 2024
Your kind words and positive reviews mean a lot to our team. We work hard to ensure that our customers have the best possible experience, and it is always rewarding to receive recognition for our efforts. If there is anything else we can do to improve your experience or if you have any further feedback, […]
Read More
